Powiększone węzły chłonne to częsty powód do niepokoju, który natychmiast budzi w nas lęk przed poważnymi chorobami, w tym nowotworami. Rozumiem te obawy, bo sam spotykam się z nimi w praktyce. Ten artykuł ma za zadanie rozwiać najczęstsze mity i dostarczyć rzetelnych informacji, które pomogą Ci zrozumieć, kiedy powiększone węzły chłonne są naturalną reakcją obronną organizmu, a kiedy sygnałem, by pilnie skonsultować się z lekarzem.
Powiększone węzły chłonne: najczęściej to nie rak, ale sygnał do obserwacji
- W zdecydowanej większości przypadków powiększone węzły chłonne są objawem łagodnych infekcji, a nie nowotworu.
- Najczęstszymi przyczynami są infekcje wirusowe (np. mononukleoza) i bakteryjne (np. angina).
- Węzły infekcyjne są zazwyczaj bolesne, miękkie i ruchome, w przeciwieństwie do tych potencjalnie nowotworowych.
- Niepokojące cechy to twardość, nieprzesuwalność, szybki wzrost oraz towarzyszące objawy, takie jak utrata wagi czy nocne poty.
- Powiększenie węzłów nadobojczykowych zawsze wymaga pilnej konsultacji lekarskiej.
- Pierwszym krokiem diagnostycznym jest wizyta u lekarza rodzinnego, który zleci podstawowe badania i ewentualnie USG.
Dlaczego Twój organizm powiększa węzły chłonne? Rola "filtrów" układu odpornościowego
Węzły chłonne to niezwykle ważne elementy naszego układu odpornościowego, które można porównać do biologicznych stacji filtrujących. Rozmieszczone strategicznie w całym ciele, zwłaszcza na szyi, pod pachami i w pachwinach, pełnią funkcję "strażników". Ich głównym zadaniem jest wyłapywanie szkodliwych substancji, takich jak bakterie, wirusy, komórki nowotworowe czy toksyny, zanim dostaną się one do krwiobiegu. Kiedy w organizmie pojawia się infekcja lub stan zapalny, węzły chłonne aktywują się, gromadząc komórki odpornościowe, które mają za zadanie zwalczyć zagrożenie. To właśnie ten proces intensywna praca układu odpornościowego powoduje, że węzły chłonne powiększają się i stają się wyczuwalne.
Statystyki, które uspokajają: jak często powiększone węzły chłonne są objawem nowotworu?
Wiem, że myśl o nowotworze jest paraliżująca, gdy wyczujemy powiększony węzeł. Jednak z mojego doświadczenia i danych statystycznych wynika, że w zdecydowanej większości przypadków powiększone węzły chłonne (czyli limfadenopatia) są objawem łagodnych, samoograniczających się chorób. Szczególnie u dzieci i młodych dorosłych, nowotwory stanowią przyczynę powiększonych węzłów chłonnych tylko w niewielkim odsetku przypadków. Zdecydowana większość ma podłoże infekcyjne. To bardzo ważna informacja, która powinna przynieść ulgę, choć oczywiście nie zwalnia z czujności.
Odpowiedź wprost: nie, powiększone węzły chłonne najczęściej nie oznaczają raka
Pozwól, że odpowiem na to pytanie od razu i bardzo wyraźnie: nie, powiększone węzły chłonne najczęściej nie oznaczają raka. To naturalna reakcja Twojego organizmu na walkę z infekcją lub stanem zapalnym. Zazwyczaj są one wynikiem zwykłego przeziębienia, anginy, mononukleozy czy innej, mniej groźnej dolegliwości. Choć zawsze należy zachować czujność i obserwować swój organizm, panika jest w większości sytuacji nieuzasadniona.
Najczęstszy winowajca: kiedy za powiększonymi węzłami stoi zwykła infekcja?
Skoro już wiemy, że większość powiększonych węzłów chłonnych ma łagodne podłoże, przyjrzyjmy się najczęstszym przyczynom. To właśnie infekcje, zarówno wirusowe, jak i bakteryjne, są głównymi sprawcami tego zjawiska.
Wirusy w natarciu: mononukleoza, przeziębienie, cytomegalia jako typowe przyczyny
- Mononukleoza zakaźna (choroba pocałunków): Wywołana wirusem EBV, często powoduje znaczne, uogólnione powiększenie węzłów chłonnych, szczególnie na szyi i pod pachami, a także gorączkę i silne zmęczenie.
- Cytomegalia (CMV): To inna infekcja wirusowa, która może objawiać się powiększeniem węzłów chłonnych, często bez innych wyraźnych objawów lub z objawami przypominającymi mononukleozę.
- Odra i różyczka: Te choroby wieku dziecięcego, choć rzadsze dzięki szczepieniom, również charakteryzują się powiększeniem węzłów chłonnych, zwłaszcza za uszami i na karku.
- Zakażenia górnych dróg oddechowych (przeziębienie, grypa): Najbardziej banalne, a jednocześnie najczęstsze przyczyny powiększonych węzłów chłonnych na szyi i pod żuchwą. Węzły powiększają się w odpowiedzi na walkę z wirusem.
Gdy atakują bakterie: od anginy i próchnicy zębów po chorobę kociego pazura
- Angina paciorkowcowa: Klasyczny przykład infekcji bakteryjnej gardła, która powoduje silne powiększenie i bolesność węzłów chłonnych szyjnych.
- Gruźlica: Choć kojarzona głównie z płucami, gruźlica może atakować również węzły chłonne (limfadenopatia gruźlicza), prowadząc do ich powiększenia, często w obrębie szyi.
- Choroba kociego pazura: Wywołana przez bakterię przenoszoną przez koty (zwłaszcza młode), objawia się powiększeniem węzłów chłonnych w okolicy zadrapania lub ugryzienia.
- Próchnica zębów i stany zapalne jamy ustnej: Nawet z pozoru niewielkie problemy stomatologiczne mogą prowadzić do powiększenia węzłów chłonnych podżuchwowych, ponieważ węzły te drenują obszar jamy ustnej.
Jak rozpoznać węzły "infekcyjne"? Ból, zaczerwienienie i ruchomość jako dobre znaki
Kiedy węzły chłonne powiększają się na skutek infekcji, zazwyczaj mają pewne charakterystyczne cechy, które mogą Cię uspokoić. Takie węzły są najczęściej bolesne przy dotyku, co jest dobrym znakiem ból świadczy o aktywnym procesie zapalnym. Często są również miękkie i sprężyste, a co najważniejsze, swobodnie przesuwają się względem podłoża i skóry. Czasem, zwłaszcza przy infekcjach bakteryjnych, skóra nad powiększonym węzłem może być zaczerwieniona i cieplejsza. Te cechy wskazują, że węzeł pracuje, zwalczając patogen, i w większości przypadków nie są powodem do paniki.

A jeśli to nie infekcja? Inne nienowotworowe przyczyny powiększonych węzłów chłonnych
Chociaż infekcje są najczęstszym powodem, istnieją również inne, nienowotworowe przyczyny powiększenia węzłów chłonnych, o których warto wiedzieć.
Gdy organizm atakuje sam siebie: choroby autoimmunologiczne (toczeń, RZS)
Nasz układ odpornościowy jest niezwykle złożony. Czasem zdarza się, że zaczyna atakować własne tkanki, co prowadzi do chorób autoimmunologicznych. W takich schorzeniach, jak na przykład toczeń rumieniowaty układowy czy reumatoidalne zapalenie stawów (RZS), dochodzi do przewlekłego stanu zapalnego w organizmie. W odpowiedzi na ten stan, węzły chłonne mogą ulegać uogólnionemu powiększeniu, stając się wyczuwalne w wielu miejscach. Nie jest to objaw nowotworowy, lecz manifestacja nadmiernej aktywności układu odpornościowego.
Reakcje na leki i szczepienia: czy to możliwe?
Tak, to zdecydowanie możliwe! Niektóre leki, zwłaszcza te stosowane w leczeniu padaczki czy antybiotyki, mogą wywołać przejściowe powiększenie węzłów chłonnych jako reakcję nadwrażliwości. Podobnie, szczepienia ochronne, takie jak te przeciwko odrze, śwince i różyczce (MMR) czy COVID-19, mogą aktywować układ odpornościowy w węzłach chłonnych znajdujących się w pobliżu miejsca iniekcji (np. pod pachą po szczepieniu w ramię), prowadząc do ich czasowego powiększenia. Jest to zazwyczaj łagodna i przemijająca reakcja.
Rzadsze schorzenia, o których warto wiedzieć (np. sarkoidoza, toksoplazmoza)
- Sarkoidoza: To choroba zapalna, która może atakować wiele narządów, w tym płuca i węzły chłonne, prowadząc do ich powiększenia, często w obrębie klatki piersiowej i szyi.
- Toksoplazmoza: Infekcja pasożytnicza, którą można zarazić się przez kontakt z odchodami kotów lub spożycie niedogotowanego mięsa. Często przebiega bezobjawowo, ale u niektórych osób może powodować powiększenie węzłów chłonnych, gorączkę i zmęczenie.
- Choroba Kikuchiego-Fujimoto: Rzadka, łagodna choroba charakteryzująca się powiększeniem węzłów chłonnych, głównie szyjnych, często z gorączką.
Sygnały alarmowe: kiedy powiększone węzły chłonne wymagają pilnej wizyty u lekarza?
Chociaż większość przypadków powiększonych węzłów chłonnych jest łagodna, istnieją pewne sygnały, które powinny skłonić nas do natychmiastowej wizyty u lekarza. Pamiętaj, że czujność i szybka reakcja mogą być kluczowe.
Samodzielne badanie palpacyjne: na co zwrócić uwagę? (wielkość, twardość, bolesność, przesuwalność)
Warto regularnie, delikatnie badać swoje węzły chłonne, zwłaszcza na szyi, pod pachami i w pachwinach. Co to znaczy "powiększony węzeł"? U osoby dorosłej za powiększony uznaje się węzeł chłonny o średnicy przekraczającej 1 cm, z wyjątkiem węzłów pachwinowych, które mogą być nieco większe (do 1,5 cm). Podczas badania zwróć uwagę na następujące cechy:
- Wielkość: Czy węzeł jest większy niż 1 cm? Czy szybko rośnie?
- Twardość: Czy węzeł jest twardy jak kamień, czy raczej miękki i sprężysty?
- Bolesność: Czy dotyk węzła sprawia ból? Bolesność zazwyczaj świadczy o stanie zapalnym.
- Przesuwalność: Czy węzeł swobodnie przesuwa się pod skórą i względem głębszych tkanek, czy jest unieruchomiony?
Twardy, niebolesny, nieruchomy: charakterystyka węzła "podejrzanego" onkologicznie
Jeśli podczas samodzielnego badania wyczujesz węzeł, który ma następujące cechy, powinieneś jak najszybciej skonsultować się z lekarzem: jest twardy, niebolesny, nieprzesuwalny względem podłoża lub skóry, a także zbity w pakiety (czyli kilka węzłów połączonych ze sobą). Szczególnie niepokojące są węzły, które szybko rosną i utrzymują się powiększone ponad 2-3 tygodnie bez żadnych oznak infekcji. To właśnie te cechy, a nie sam fakt powiększenia, mogą sugerować proces nowotworowy i wymagają pilnej diagnostyki.
Lokalizacja ma znaczenie: dlaczego węzły nad obojczykiem wymagają szczególnej czujności?
Lokalizacja powiększonych węzłów chłonnych jest niezwykle istotna. O ile powiększone węzły szyjne czy podżuchwowe często są wynikiem infekcji górnych dróg oddechowych, o tyle węzły nadobojczykowe zawsze wymagają szczególnej czujności. Ich powiększenie, zwłaszcza po lewej stronie, często wiąże się z procesem nowotworowym w obrębie klatki piersiowej lub jamy brzusznej i jest sygnałem alarmowym. Podobnie, powiększenie węzłów pachowych, zwłaszcza jednostronne, może być związane z rakiem piersi i wymaga natychmiastowej diagnostyki.
Objawy, których nie wolno ignorować: nocne poty, utrata wagi i przewlekłe zmęczenie
Powiększone węzły chłonne w połączeniu z pewnymi objawami ogólnymi powinny zapalić czerwoną lampkę. Nazywamy je objawami "B" i są one często związane z procesami nowotworowymi, takimi jak chłoniaki czy białaczki. Zwróć uwagę na:
- Niezamierzoną utratę masy ciała: Jeśli straciłeś więcej niż 10% swojej wagi w ciągu 6 miesięcy bez zmiany diety czy trybu życia, to jest to bardzo niepokojący sygnał.
- Gorączkę bez wyraźnej przyczyny infekcyjnej: Utrzymująca się gorączka, której nie towarzyszą inne objawy przeziębienia czy grypy, wymaga wyjaśnienia.
- Zlewne nocne poty: Tak silne, że budzisz się mokry i musisz zmieniać pościel lub piżamę.
- Silne osłabienie i przewlekłe zmęczenie: Uczucie wyczerpania, które nie ustępuje po odpoczynku.
- Świąd skóry: Uporczywy świąd, często bez widocznych zmian skórnych.
Obecność tych objawów w połączeniu z powiększonymi węzłami chłonnymi obliguje do pilnej wizyty u lekarza.
Ścieżka diagnostyczna w Polsce: co czeka cię po wizycie u lekarza?
Jeśli zdecydujesz się na wizytę u lekarza z powodu powiększonych węzłów chłonnych, dobrze jest wiedzieć, czego możesz się spodziewać. W polskim systemie opieki zdrowotnej ścieżka diagnostyczna jest zazwyczaj dość ustandaryzowana.
Krok pierwszy: rola lekarza rodzinnego w ocenie sytuacji
Twoim pierwszym kontaktem powinien być lekarz rodzinny (lekarz pierwszego kontaktu). Podczas wizyty lekarz przeprowadzi szczegółowy wywiad, pytając o czas trwania powiększenia, ewentualne objawy towarzyszące, przebyte infekcje, podróże czy kontakt ze zwierzętami. Następnie wykona badanie fizykalne, podczas którego dokładnie zbada palpacyjnie (dotykowo) powiększone węzły chłonne oraz inne obszary ciała. Na podstawie zebranych informacji lekarz oceni, czy sytuacja wymaga dalszej diagnostyki, czy też można zastosować podejście "obserwuj i czekaj".Krok drugi: jakie informacje może dać proste badanie krwi (morfologia, OB, CRP)?
W większości przypadków lekarz rodzinny zleci podstawowe badania krwi. Najczęściej będą to: morfologia krwi z rozmazem, OB (odczyn Biernackiego) oraz CRP (białko C-reaktywne). Morfologia z rozmazem dostarczy informacji o liczbie i rodzajach komórek krwi, co może wskazać na infekcję wirusową, bakteryjną, anemię, a nawet wstępnie zasugerować proces nowotworowy (np. białaczkę). OB i CRP to markery stanu zapalnego ich podwyższone wartości świadczą o toczącym się w organizmie procesie zapalnym, co często towarzyszy infekcjom.

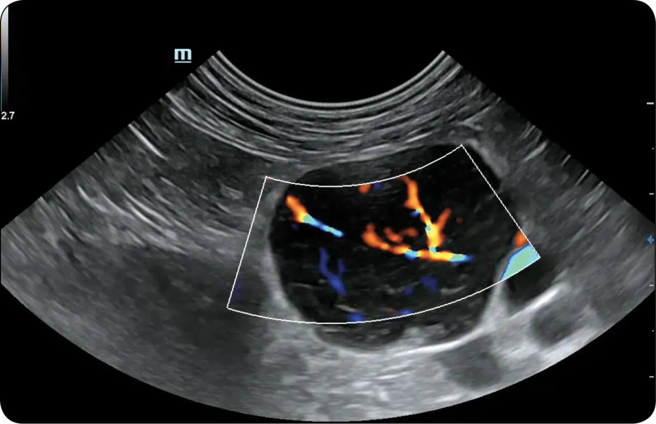
Krok trzeci: USG węzłów chłonnych jako kluczowe badanie obrazowe
Jeśli badania krwi nie dadzą jednoznacznej odpowiedzi lub lekarz uzna, że powiększone węzły chłonne wymagają dokładniejszej oceny, kolejnym krokiem będzie USG węzłów chłonnych. To nieinwazyjne i bezpieczne badanie obrazowe jest kluczowe. Pozwala ono ocenić wielkość, kształt, strukturę wewnętrzną węzła (np. obecność wnęki, która jest dobrym znakiem), a także jego unaczynienie. Na podstawie tych cech radiolog może wstępnie określić, czy węzeł ma charakter odczynowy (infekcyjny) czy też budzi podejrzenie procesu nowotworowego. W zależności od wskazań, w dalszej diagnostyce mogą być stosowane inne badania obrazowe, takie jak RTG klatki piersiowej, tomografia komputerowa (TK) lub rezonans magnetyczny (MR).Krok czwarty: kiedy konieczna jest biopsja i dlaczego jest "złotym standardem"?
Jeśli wszystkie dotychczasowe badania nie przyniosą jednoznacznej diagnozy, a węzły chłonne nadal budzą niepokój, konieczna może okazać się biopsja chirurgiczna węzła chłonnego. Polega ona na pobraniu całego węzła (lub jego części) do badania histopatologicznego. To właśnie badanie histopatologiczne jest uznawane za "złoty standard" w diagnostyce niejasnych przypadków limfadenopatii, ponieważ pozwala na ostateczne określenie charakteru zmian czy są one łagodne, czy złośliwe. Warto zaznaczyć, że w tym kontekście biopsja cienkoigłowa (BAC) ma ograniczoną wartość diagnostyczną, ponieważ często nie dostarcza wystarczającej ilości materiału do pełnej oceny struktury węzła.
Podsumowanie: jak żyć bez paniki, ale z rozwagą?
Mam nadzieję, że ten artykuł pomógł Ci zrozumieć, że powiększone węzły chłonne, choć budzą lęk, w zdecydowanej większości przypadków nie są objawem nowotworu. Kluczem jest świadomość i umiejętność rozróżnienia sygnałów, które wysyła nam organizm.
Kluczowe wnioski: kiedy obserwować, a kiedy działać?
- Obserwuj: Jeśli powiększone węzły są bolesne, miękkie, ruchome, występują w kontekście infekcji (przeziębienie, angina) i zmniejszają się po kilku dniach lub tygodniach.
- Działaj (skonsultuj się z lekarzem): Jeśli węzły są twarde, niebolesne, nieruchome, szybko rosną, utrzymują się powiększone ponad 2-3 tygodnie bez jasnej przyczyny, lub jeśli towarzyszą im alarmujące objawy (utrata wagi, gorączka, nocne poty).
- Działaj natychmiast (pilna wizyta lekarska): Zawsze, gdy wyczujesz powiększony węzeł nad obojczykiem.
Przeczytaj również: Czym smarować siniaki? Szybkie gojenie i sprawdzone sposoby.
Podkreślenie roli profilaktyki i nieodkładania wizyty u lekarza w razie wątpliwości
Pamiętaj, że profilaktyka i uważna obserwacja własnego ciała to Twoi najlepsi sprzymierzeńcy. Nie ignoruj sygnałów, które wysyła Ci organizm, ale też nie wpadaj w panikę przy każdym powiększonym węźle. W razie jakichkolwiek wątpliwości czy niepokojących objawów, nie odkładaj wizyty u lekarza rodzinnego. To on jest pierwszym i najważniejszym ogniwem w procesie diagnostycznym, który pomoże Ci rozwiać obawy i podjąć odpowiednie kroki, jeśli zajdzie taka potrzeba. Twoje zdrowie jest najważniejsze!
