Jako ekspert w dziedzinie diagnostyki obrazowej, często spotykam się z pytaniami o tomografię komputerową (TK) głowy. To niezwykle szybkie i precyzyjne badanie, które odgrywa kluczową rolę w diagnozowaniu szerokiego spektrum schorzeń neurologicznych i urazowych. Jeśli szukasz odpowiedzi na pytania dotyczące przyczyn swoich dolegliwości, TK głowy może dostarczyć wielu istotnych informacji.
Tomografia komputerowa głowy: Kluczowe narzędzie do diagnozowania wielu schorzeń mózgu i czaszki
- Tomografia komputerowa głowy to szybkie i precyzyjne badanie obrazowe, które pomaga zdiagnozować szeroki zakres problemów neurologicznych i pourazowych.
- Wykrywa zmiany urazowe, takie jak krwiaki i złamania kości czaszki, a także jest badaniem pierwszego wyboru w diagnostyce udarów mózgu.
- Pozwala na identyfikację nowotworów (guzów pierwotnych i przerzutów), chorób naczyniowych (tętniaków, malformacji) oraz stanów zapalnych (ropnie, zapalenie zatok).
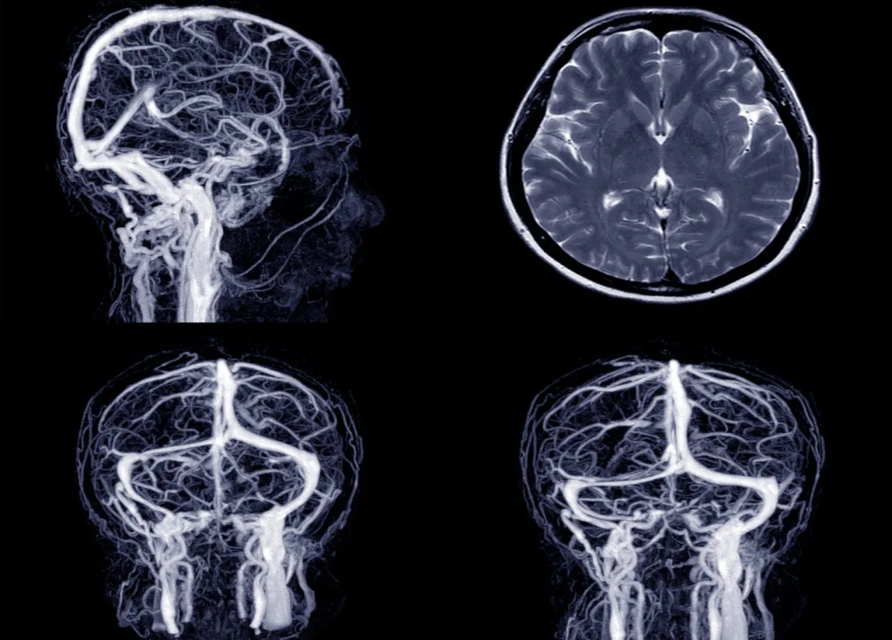
- Badanie z kontrastem jest kluczowe w diagnostyce nowotworów i szczegółowej ocenie naczyń krwionośnych (angio-TK).
- TK głowy jest powszechnie dostępne w Polsce, refundowane przez NFZ i wykonywane w trybie pilnym bez długiego oczekiwania.

Tomografia komputerowa głowy: Co to jest i kiedy jest potrzebna?
Tomografia komputerowa (TK) głowy to zaawansowana metoda diagnostyki obrazowej, która wykorzystuje promieniowanie rentgenowskie do tworzenia szczegółowych, przekrojowych obrazów struktur wewnątrzczaszkowych. W mojej ocenie, jest to nieocenione narzędzie, szczególnie w diagnostyce neurologicznej i urazowej, ponieważ pozwala na szybkie i precyzyjne "zajrzenie" do wnętrza głowy. Tomograf, obracając się wokół pacjenta, wykonuje serię zdjęć rentgenowskich pod różnymi kątami, które następnie komputer przetwarza w trójwymiarowy obraz mózgu, kości czaszki, zatok i naczyń krwionośnych.
Kiedy więc TK głowy jest badaniem pierwszego wyboru? Oto najczęstsze wskazania, z którymi spotykam się w praktyce:
- Nagłe i silne bóle głowy, zwłaszcza te o nieznanej przyczynie, które mogą wskazywać na poważne problemy.
- Urazy głowy i podejrzenie krwawienia wewnątrzczaszkowego w takich sytuacjach liczy się każda minuta.
- Podejrzenie udaru mózgu (niedokrwiennego lub krwotocznego) TK jest badaniem pierwszego rzutu ze względu na swoją szybkość i szeroką dostępność, co jest kluczowe dla wdrożenia natychmiastowego leczenia.
- Podejrzenie guza mózgu (pierwotnego lub przerzutów).
- Diagnostyka wodogłowia.
- Ocena stanu po operacjach neurochirurgicznych.
- Podejrzenie chorób zapalnych mózgu i opon mózgowo-rdzeniowych.
- Diagnostyka chorób zatok przynosowych i kości twarzoczaszki.
- Wady rozwojowe.

Często pacjenci pytają mnie o różnice między tomografią komputerową a rezonansem magnetycznym (MRI) głowy. Obie metody są niezwykle cenne, ale mają swoje specyficzne zastosowania. Tomografia komputerowa jest zazwyczaj badaniem szybszym i tańszym. Ma również przewagę w obrazowaniu kości oraz świeżej krwi, co czyni ją niezastąpioną w przypadku urazów i udarów krwotocznych. Z kolei rezonans magnetyczny, choć dłuższy i droższy, oferuje znacznie większą precyzję w ocenie tkanek miękkich. Jest to badanie z wyboru przy podejrzeniu guzów, stwardnienia rozsianego czy subtelnych zmian niedokrwiennych. Decyzja o wyborze badania zawsze należy do lekarza, który najlepiej oceni, która metoda będzie najbardziej odpowiednia dla danego przypadku.
| Cecha | Tomografia Komputerowa (TK) | Rezonans Magnetyczny (MRI) |
|---|---|---|
| Szybkość badania | Bardzo szybkie (kilka minut) | Wolniejsze (od 20 do 60 minut) |
| Koszt | Zazwyczaj niższy | Zazwyczaj wyższy |
| Obrazowanie kości | Doskonałe (złamania, struktury kostne) | Słabsze |
| Obrazowanie świeżej krwi | Bardzo dobre (krwotoki, urazy) | Dobre, ale TK często szybsze w ostrych stanach |
| Obrazowanie tkanek miękkich | Dobre | Doskonałe (guzy, stwardnienie rozsiane, subtelne zmiany) |
| Źródło obrazowania | Promieniowanie rentgenowskie | Silne pole magnetyczne i fale radiowe |
| Dostępność | Szeroka | Dobra, ale TK często bardziej dostępna w trybie pilnym |
Urazy i stany nagłe: Szybka diagnoza dzięki tomografii
W przypadku urazów głowy, tomografia komputerowa jest badaniem, które ratuje życie. Pozwala ona na szybkie wykrycie szeregu groźnych zmian, takich jak krwiaki nadtwardówkowe i podtwardówkowe, które mogą uciskać mózg i wymagać natychmiastowej interwencji chirurgicznej. Widoczne są również krwiaki śródmózgowe oraz stłuczenia mózgu, które są wynikiem bezpośredniego uszkodzenia tkanki. Szybka i precyzyjna diagnoza jest w tych przypadkach absolutnie kluczowa dla rokowania pacjenta.
Co więcej, TK jest niezastąpiona w diagnostyce pęknięć i złamań kości czaszki. W przeciwieństwie do zwykłego zdjęcia rentgenowskiego (RTG), które daje jedynie dwuwymiarowy obraz, tomografia komputerowa tworzy trójwymiarową rekonstrukcję. Dzięki temu lekarz może dokładnie ocenić rozległość złamania, jego typ oraz ewentualne przemieszczenia odłamów kostnych, co jest niezwykle ważne przy planowaniu leczenia.
Nie mogę nie wspomnieć o roli TK w diagnostyce udaru mózgu. Niezależnie od tego, czy mamy do czynienia z udarem niedokrwiennym, czy krwotocznym, TK głowy jest badaniem pierwszego rzutu. Dlaczego? Ponieważ pozwala błyskawicznie wykluczyć krwotok śródmózgowy, który wymaga zupełnie innego postępowania niż udar niedokrwienny. Szybkość wykonania badania jest tu kluczowa, ponieważ w przypadku udaru niedokrwiennego istnieje tzw. "okno terapeutyczne", w którym można podać leki rozpuszczające zakrzep. Każda minuta zwłoki może oznaczać większe uszkodzenie mózgu.

Nowotwory i guzy: Rola tomografii w diagnostyce onkologicznej
Wykrywanie nowotworów mózgu to kolejne ważne zastosowanie tomografii komputerowej głowy. TK pomaga w identyfikacji zarówno guzów pierwotnych (powstających w mózgu), jak i przerzutów (komórek nowotworowych, które przeniosły się z innych części ciała). Pozwala również na wykrycie guzów opon mózgowo-rdzeniowych. W mojej praktyce zawsze podkreślam, że w przypadku podejrzenia nowotworu, podanie środka kontrastowego jest kluczowe. Kontrast gromadzi się w tkankach o zwiększonym unaczynieniu, co znacząco zwiększa widoczność zmian nowotworowych i pozwala na ich lepsze zróżnicowanie.
Na obrazie z tomografu zmiany nowotworowe mogą wyglądać różnie, ale często charakteryzują się jako obszary o zmienionej gęstości, z nieregularnymi brzegami, często otoczone obrzękiem. Po podaniu kontrastu, guzy często intensywnie się wzmacniają, czyli stają się jaśniejsze, co pozwala na ich wstępną identyfikację i ocenę ich charakteru. Oczywiście, ostateczne rozpoznanie zawsze wymaga dalszych badań, takich jak rezonans magnetyczny czy biopsja.
Tomografia komputerowa głowy jest również cennym narzędziem do oceny skuteczności leczenia onkologicznego. Regularne badania kontrolne pozwalają monitorować zmiany w rozmiarze i charakterze guzów czy się zmniejszają, stabilizują, czy rosną. Dzięki temu lekarze mogą na bieżąco dostosowywać terapię, co jest niezwykle ważne w długoterminowym prowadzeniu pacjentów onkologicznych.
Choroby naczyniowe: Co tomografia ujawnia w tętnicach i żyłach?
Choroby naczyniowe mózgu stanowią poważne zagrożenie dla zdrowia, a tomografia komputerowa, zwłaszcza w specjalistycznej formie angio-TK, jest w stanie je skutecznie wykrywać. Pozwala ona na identyfikację tętniaków poszerzeń naczyń krwionośnych, które mogą pęknąć i spowodować krwotok oraz malformacji naczyniowych, czyli nieprawidłowych połączeń między tętnicami a żyłami. Te schorzenia często rozwijają się bezobjawowo, stanowiąc "ciche zagrożenie", dlatego ich wczesne wykrycie jest tak ważne.
TK jest również niezwykle skuteczna w diagnozowaniu krwotoków wewnątrzczaszkowych. W ciągu kilku sekund jesteśmy w stanie zlokalizować krwotok podpajęczynówkowy, który jest często wynikiem pęknięcia tętniaka, a także krwotok śródmózgowy. Szybka identyfikacja miejsca i rozległości krwawienia jest kluczowa dla podjęcia decyzji o dalszym leczeniu, często neurochirurgicznym.
Kiedy mówimy o szczegółowej ocenie naczyń mózgowych, nie sposób pominąć angio-TK. To specjalna odmiana tomografii, podczas której podaje się środek kontrastowy dożylnie, a następnie wykonuje serię szybkich skanów. Pozwala to na stworzenie szczegółowej, trójwymiarowej mapy naczyń krwionośnych mózgu, co umożliwia precyzyjną ocenę ich struktury, wykrycie zwężeń, niedrożności, tętniaków czy malformacji. Jest to badanie o ogromnej wartości diagnostycznej w przypadku chorób naczyniowych.
Inne schorzenia: Kiedy tomografia głowy jest pomocna?
Tomografia komputerowa głowy ma szerokie zastosowanie i pomaga w diagnozowaniu wielu innych schorzeń. Jednym z nich jest wodogłowie, czyli nadmierne gromadzenie się płynu mózgowo-rdzeniowego w komorach mózgu. Na obrazie TK wyraźnie widać poszerzenie układu komorowego, co jest kluczowe dla rozpoznania i monitorowania tej choroby. Dzięki temu lekarze mogą ocenić stopień zaawansowania wodogłowia i podjąć decyzję o ewentualnym leczeniu.
TK jest również pomocna w diagnostyce przewlekłych i ostrych stanów zapalnych. Pozwala na wykrycie ropni mózgu, które są skupiskami ropy w tkance mózgowej, oraz zapalenia zatok, które na obrazie widoczne są jako zacienienia w obrębie zatok przynosowych. Warto jednak zaznaczyć, że w przypadku podejrzenia zapalenia opon mózgowych, rezonans magnetyczny bywa dokładniejszy, oferując lepszą wizualizację subtelnych zmian w tkankach miękkich.
Chociaż tomografia komputerowa nie jest głównym narzędziem diagnostycznym w chorobach neurodegeneracyjnych, może ujawnić pewne zmiany zwyrodnieniowe i zanikowe mózgu. Na obrazie z TK można zaobserwować zaniki korowe mózgu, które są charakterystyczne m.in. dla choroby Alzheimera. Pozwala to na ogólną ocenę objętości mózgu i poszerzenia przestrzeni płynowych, jednak dla szczegółowej diagnozy i oceny postępu tych chorób, zazwyczaj preferowany jest rezonans magnetyczny.
Przygotowanie do badania TK głowy: Co musisz wiedzieć?
Przygotowanie do badania TK głowy jest zazwyczaj proste, ale istnieją pewne kluczowe kwestie, o których musisz pamiętać. Badanie wykonuje się z kontrastem lub bez kontrastu, w zależności od wskazań. Kontrast jest niezbędny, gdy podejrzewamy nowotwory, procesy zapalne, a także w celu szczegółowej oceny naczyń krwionośnych (angio-TK). Jeśli badanie ma być wykonane z kontrastem, zostaniesz o tym poinformowany z wyprzedzeniem.
Jeśli badanie ma być wykonane z podaniem środka kontrastowego, kluczowe jest przedstawienie aktualnego wyniku poziomu kreatyniny we krwi. Kreatynina to wskaźnik funkcji nerek. Środki kontrastowe są wydalane z organizmu przez nerki, dlatego ważne jest, aby upewnić się, że nerki pacjenta funkcjonują prawidłowo i są w stanie bezpiecznie usunąć kontrast. Zbyt wysoki poziom kreatyniny może być przeciwwskazaniem do podania kontrastu lub wymagać specjalnych środków ostrożności.
Przebieg badania TK głowy jest zazwyczaj następujący:
- Po wejściu do pracowni zostaniesz poproszony o wypełnienie ankiety dotyczącej stanu zdrowia i ewentualnych przeciwwskazań.
- Następnie technik poprosi Cię o położenie się na specjalnym stole, który wsuwa się do wnętrza aparatu tomograficznego. Ważne jest, aby leżeć nieruchomo.
- Głowa zostanie unieruchomiona za pomocą specjalnych pasków lub podkładek, aby zapewnić stabilność podczas skanowania.
- Jeśli badanie jest z kontrastem, technik lub pielęgniarka założy wenflon, przez który zostanie podany środek kontrastowy.
- Stół z Tobą będzie się przesuwał przez otwór tomografu, a aparat będzie wykonywał serię zdjęć. Usłyszysz charakterystyczne dźwięki pracy urządzenia.
- W trakcie badania technik będzie z Tobą w kontakcie za pomocą interkomu i może prosić o wstrzymanie oddechu na kilka sekund.
- Całe badanie zazwyczaj trwa od kilku do kilkunastu minut. Po jego zakończeniu stół wysunie się, a wenflon zostanie usunięty (jeśli był założony).
Bezpieczeństwo tomografii komputerowej głowy: Ważne informacje
Wielu pacjentów obawia się promieniowania rentgenowskiego w tomografii komputerowej. Muszę podkreślić, że dawka promieniowania w TK głowy jest dokładnie kontrolowana i optymalizowana, aby uzyskać jak najlepszy obraz przy minimalnym ryzyku. Współczesne tomografy są bardzo zaawansowane i emitują znacznie mniejsze dawki niż starsze urządzenia. Korzyści diagnostyczne płynące z badania, zwłaszcza w nagłych przypadkach, zazwyczaj znacznie przewyższają potencjalne ryzyko związane z ekspozycją na promieniowanie. Zawsze jednak, jako ekspert, zalecam, aby badanie było wykonywane tylko wtedy, gdy jest to medycznie uzasadnione.
Jeśli badanie jest wykonywane z użyciem środka kontrastowego, mogą wystąpić pewne reakcje. Najczęściej są to łagodne objawy, takie jak uczucie ciepła, metaliczny posmak w ustach, nudności czy zawroty głowy. Rzadziej zdarzają się reakcje alergiczne, od wysypki po cięższe reakcje anafilaktyczne. Aby zminimalizować ryzyko, zawsze informuj personel medyczny o wszelkich alergiach, chorobach przewlekłych (zwłaszcza nerek i tarczycy) oraz przyjmowanych lekach. Po badaniu zaleca się picie dużej ilości płynów, aby przyspieszyć wydalanie kontrastu z organizmu.Istnieją pewne przeciwwskazania do wykonania badania TK głowy, które należy wziąć pod uwagę:
- Ciąża promieniowanie rentgenowskie może być szkodliwe dla płodu, dlatego w ciąży TK wykonuje się tylko w absolutnie nagłych i ratujących życie sytuacjach.
- Ciężka niewydolność nerek jest to przeciwwskazanie do podania środka kontrastowego, ze względu na ryzyko dalszego uszkodzenia nerek.
- Uczulenie na środek kontrastowy jeśli w przeszłości wystąpiła ciężka reakcja alergiczna na kontrast jodowy, badanie z kontrastem jest przeciwwskazane.
- Nadczynność tarczycy podanie kontrastu jodowego może nasilić objawy nadczynności tarczycy.
- Cukrzyca leczona metforminą w przypadku podania kontrastu, metformina powinna być odstawiona na 48 godzin przed i po badaniu, aby uniknąć ryzyka kwasicy mleczanowej.
Zawsze konsultuj się z lekarzem, jeśli masz jakiekolwiek wątpliwości lub obawy przed badaniem. Twoje bezpieczeństwo jest najważniejsze.
